
「削らない痛くない虫歯治療」虫歯を殺菌ドックベストセメント
2011年3月22日放送のTBSテレビ「これが世界のスーパードクター14」にてドックベストセメント治療が紹介されました。
ドックベストセメント Doc's Best Cement 〜特徴〜
このドックベストセメントDoc's Best Cementは「う蝕」治療において画期的な治療法です。通常の「う蝕」治療は軟化牙質を除去し、感染した歯牙組織を全て削除してから充填やクラウンのセットを行います。ところが、このセメントは軟化牙質(感染牙質)を完全除去せず、充填することが可能があります。しかも、充填後は感染牙質は再石灰化し治癒してしまう。こんな夢のセメントが存在していたのです。今回、このセメントは患者さんの歯を守ることのできる、すばらしい商品です。
治療の起源は、アメリカフィラデルフィアの歯科医師、Dr.John Henry Holidayが19世紀後半に銅セメント開発しました。Dr.Holidayは、子供の時に行った虫歯治療が102歳まで再発しないで健全に保たれた女性に着目し、その治療に使われていた銅セメントを改良して、レッドカッパーセメント(赤銅セメント)という、虫歯の防止と歯の神経組織の新陳代謝を復活させるセメントを開発しました。ところが、この銅セメントは、途中で殺菌力を増すために銅の成分を増やしたところ、歯の神経を腐食させてしまい、使われなくなってしまったのです。その後、歯科治療は虫歯をすべて除去して治療する方向に進んだため、銅セメントの事はほとんど忘れられていたのですが、1990年代に入り、アメリカの歯科医師 Dr.Tim Fraserが再び、患者さんの口の中に残っていた銅セメントに注目して、研究を始め、安全無害で殺菌力に優れたドックベストセメント治療が開発されたのです。
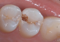
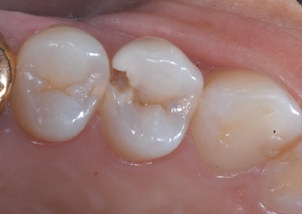
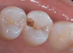
Doc's Best Cementの臨床例 |
ステップ① |
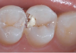
ステップ②
|
ステップ③
|
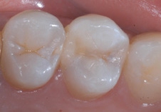
ステップ④ |
ステップ⑤
|
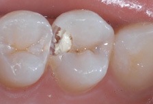
ステップ⑥
|
このDoc's Best Cementは3Mix-MP法のように抗生剤の薬効低下はなく永続的に薬効があるため、一回の操作充分である。それに抗生剤を使用しないため、アレルギー等の心配はない。また、プロピレングリコールを使用してないので発ガン等の心配はないのである。 |








HOME